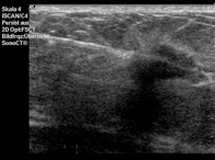
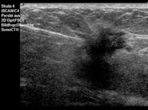
Ultraschallgestützte Hochgeschwindigkeits-Biopsie

Die ultraschallgestützte Biopsie ist ein minimal-invasives Verfahren, das zur histologischen Sicherung von auffälligen Ultraschallbefunden durchgeführt wird. Wird hierbei ein gutartiger Befund nachgewiesen, kann in dem meisten Fällen auf eine Operation verzichtet werden und der Befund wird dann in regelmäßigen Abständen kontrolliert. Auch vor der geplanten operativen Therapie von bösartigen Befunden oder deren Vorstufen wird empfohlen, diese histologisch zu sichern, um eine optimale Planung der Operation und Therapie durchzuführen.

Die Stanzbiopsie erfolgt unter Ultraschallsicht. Nach Desinfektion werden die Haut und der Weg zum auffälligen Befund mit einer feinen Nadel betäubt. Anschließend wird über einen kleinen Hautschnitt eine Punktionsnadel eingeführt und bis an den Befund herangebracht. Durch Auslösen eines Federmechanismus durchsticht die Punktionsnadel den Herdbefund und schneidet dabei ein kleines Gewebestück heraus. Üblicherweise werden zwischen 3 bis 5 Gewebestücke aus unterschiedlichen Arealen eines Herdbefundes entnommen. Die gewonnenen Gewebeproben werden anschließend zur histologischen Begutachtung in die Pathologie übersandt. Die Stanzbiopsie eines Befundes nimmt etwa 20 bis 30 Minuten in Anspruch. Komplikationen, wie Blutergüsse oder eine Entzündung sind insgesamt selten und gut therapierbar.

AKTUELLES

Keine Artikel in dieser Ansicht.