Teilprojekt 1

Proteastase-regulierende Therapeutika zur Behandlung des Morbus Wilson

 

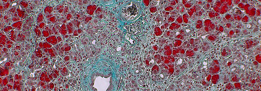
Morbus Wilson (M. Wilson) ist eine seltene genetische Erkrankung des Stoffwechsels. M. Wilson wird auf autosomal rezessivem Wege vererbt, das heißt monoallelische Träger einer schadhaften Mutation des Gens ATP7B entwickeln keine Symptomatik. Man unterscheidet zwischen einer neurologischen und einer hepatischen Ausprägung der Erkrankung. Auch Mischformen sind bekannt. In diesem Teilprojekt werden genetische, physiologische und epidemiologische Charakteristika der Erkrankung untersucht. Im Zentrum der Pathologie steht das mutierte Gen ATP7B, welches für einen Kupfer-Transporter der Golgi- und äußeren Zellmembran kodiert, der den zellulären Egress von Kupfer-Ionen reguliert. Durch Mutationen in ATP7B kommt es zu defizitärer Funktion des Genprodukts ("Wilson Protein") und infolgedessen zu einer toxischen Anreicherung von intrazellulärem Kupfer. Bei einer Vielzahl an ATP7B Mutationen handelt es sich um Punktmutationen, welche zur Retention von fehlerhaft gefaltetem Wilson Protein im Endoplasmatischen Reticulum (ER) führen. Das Wilson Protein wird im ER zurückgehalten und frühzeitig abgebaut. Mittels Etablierung verschiedener zellulärer Modelle des M. Wilson sollen neue therapeutische Zielproteine identifiziert und deren pharmakologisches Potential in Bezug auf die teilweise oder vollständige Behebung des Degradationsdefekts der Mutanten untersucht werden. Eine mögliche pharmakologische Intervention betrifft das Wilson Protein als pharmakologisches Zielprotein selbst. Mit Hilfe pharmakologischer Chaperone soll das Faltungsverhalten mutanter Formen des Proteins durch direkte, spezifische Bindung der Substanz verbessert und der zelluläre Transport in das Golgi-Netzwerk ermöglicht werden. Somit könnte die Wiederherstellung des zellulären Kupfertransportes gewährleistet werden.

 

 

Projektleiter

PD Dr. med. Jiankai Luo

Dr. rer. nat. Jan Lukas

 

Projektmitarbeiterinnen

Christina Hund

Katharina Iwanov

Dr. rer. nat. Supansa Pantoom

Janine Petters

 

Assoziierter Projektpartner

Dr. phil. nat. Moritz Frech

 

Ehemalige Projektmitarbeitende

Anna-Maria Radecker

AKTUELLES